> TSPO KO-APP/PS1小鼠模型
| 品系名称 | TSPO KO-APP/PS1小鼠模型 |
|---|---|
| 编号Number | |
| 英文名称English name | TSPO KO-APPswe/PSEN1dE9(APP/PS1)mice model |
| 常用名称Common name | |
| 基因信息Genetic information | |
| 疾病名称Disease name | 阿尔茨海默病 |
| 制作类型Production type | |
| 制作方法Making method |
实验材料 1.1 实验动物 TSPO KO小鼠由本实验构建及繁殖。AD模型小鼠 APPswe/PSEN1dE9(APP/PS1)小鼠来源于 Jackson Laboratory。 1.2 主要实验仪器 PCR核酸扩增仪(Veriti FAST,Applied Biosystems) 激光共聚焦荧光显微镜(LSM780,Zeiss) 倒置荧光显微镜(DMi8,Leica) 酶标仪 (MULTISKAN FC, Thermo Fisher Scientific) DYY-6C 蛋白电泳仪(六一仪器厂) 凝胶图像分析仪 InGenius (SYNGENE) 台式低温离心机(Heraeus Biofuge Primo R,Thermo Fisher Scientific) 二氧化碳细胞培养箱(Heracell 240i, Thermo Fisher Scientific) 生物安全柜(Herasafe, Thermo Fisher Scientific) 2. 实验操作规程和动物处理伦理 实验动物培养在中国医学科学院基础医学研究所 SPF 级实验动物中心屏障设施内繁殖及饲养。研究中所使用的小鼠实验方法均由中国医学科学院基础医学研究所实验动物管理及伦理委员会审查。 2.1 小鼠合笼繁殖: 将TSPO全身敲除小鼠 与APP/PS1双转基因小鼠结合,使用新生约7日的小鼠进行基因型鉴定,得到 TSPO KO-APP/PS1 小鼠及其同窝对照 TSPO WT-APP/PS1小鼠。 2.2 基因型鉴定 使用TSPO 鉴定引物为 HW007、HW008 和 HW009;APP基因型鉴定引物为 OMIR3610、OMIR3611、OMIR7338和OMIR7339;PSEN1基因型鉴定引物为OMIR1644、OMIR1645、 OMIR7338 和 OMIR7339进行PCR鉴定基因型。引物序列为: 引物HW007 5’ GATGGAGAAACTGAGTCCCAGTCAGGG -3’ 引物HW008 5’ GCTCTGCCCTAATCACAAAGTTTCACAC -3’ 引物HW009 5’ TTAAGGAGAGGTTTTGTCCTTGTGTC -3’ 引物OMIR3610 5’ AGGACTGACCACTCGACCAG -3’ 引物OMIR3611 5’ CGGGGGTCTAGTTCTGCAT -3’ 引物OMIR7338 5’ CTAGGCCACAGAATTGAAAGATCT -3’ 引物OMIR7339 5’ GTAGGTGGAAATTCTAGCATCATCC -3’ 引物OMIR1644 5’ AATAGAGAACGGCAGGAGCA -3’ 引物OMIR1645 5’ GCCATGAGGGCACTAATCAT -3’ |
| 背景品系Background lines | C57BL/6J |
| 表型特征Phenotypic characteristics |
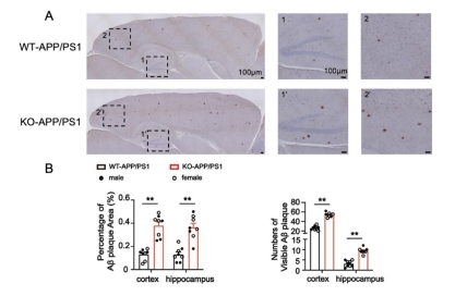
1. TSPO KO-APP/PS1小鼠脑组织Aβ沉积增多 为了研究Aβ病理过程中TSPO的作用,我们采用APP/PS1双转基因小鼠作为AD模型小鼠,将实验室前期已建立的TSPO全身敲除小鼠与APP/PS1双转基因小鼠结合,得到 TSPO KO-APP/PS1小鼠及其同窝对照 TSPO WT-APP/PS1小鼠,然后检测脑组织中Aβ聚集沉积情况。免疫组化技术检测结果表明, 相对于TSPO WT-APP/PS1小鼠,TSPO KO-APP/PS1小鼠的脑组织海马区和皮层区均出现更多的Aβ斑块沉积(图 1)。 同时通过硫磺素-S 染色以标记Aβ肽,定性及定量分析结果发现,TSPO敲除后,脑组织中出现更多的Aβ沉积(图2)。
图2 TSPO KO-APP/PS1小鼠脑组织中Aβ沉积情况 2. TSPO KO-APP/PS1小鼠脑组织Aβ含量增多 我们通过免疫印迹技术和酶联免疫吸附试验,检测TSPO KO-APP/PS1小鼠及其同窝对照小鼠脑组织中的Aβ沉积情况,结果发现TSPO基因敲除后小鼠脑中的Aβ沉积增多(图3)。
|
| 引物序列Primer sequence | |
| 应用领域Application area | |
| 繁殖方式Mode of reproduction | |
| 保存状态Save state | 活体 |
| 提供单位Provide unit | 中国医学科学院医学实验动物研究所 |
| 提供者Provider | |
| 参考文献Reference | Zhang H, Wang H, Gao F, Yang J, Xu Y, Fu Y, Cai M, Zhang X, Yang Q, Tong K, Hu Y, Chen H, Ma C, He W, Zhang J. TSPO deficiency accelerates amyloid pathology and neuroinflammation by impairing microglial phagocytosis. Neurobiol Aging. 2021 Oct;106:292-303. doi: 10.1016/j.neurobiolaging.2021.06.020. Epub 2021 Jul 3. PMID: 34340010. |
| 录入/更新时间Date | 2024.1.29 |
| 备注Remarks |
当前位置:



