2026年05月28日 星期四

> Tspan7基因敲除大鼠

品系名称 Tspan7基因敲除大鼠
编号Number
英文名称English name Wistar.Tspan7(tm)-GC/ILAS
常用名称Common name Wistar.Tspan7(tm)-GC/ILAS
基因信息Genetic information Tspan
疾病名称Disease name 自闭症谱系障碍
制作类型Production type 基因敲除
制作方法Making method

1.1 实验动物

Wistar大鼠购自北京维通利华实验动物技术有限公司北京华阜康生物科技股份有限公司。

1.2 主要实验仪器

Nikon显微注射仪

Nikon光学显微镜

BIO-RAD电泳仪

Tanon电泳槽

Tanon数码凝胶图像处理系统

Incucell恒温培养箱温控

TAITEC振荡箱

Eppendorf 离心机

Eppendorf 移液器

2. 实验操作规程和动物处理伦理

模型制作中涉及动物的操作程序已获得中国医学科学院医学实验动物研究所实验动物使用与管理委员会的批准,批准号为MYW22004简要步骤如下:
     2.1 
供卵雌鼠超排

实验第一天800 腹腔注射PMSG 30IU/(0.6ml/只)4648h以后实验第三天1000 腹腔注射HCG 30IU/(0.6ml/只)注射HCG后立即与与种鼠11合笼。实验第四天800900检查阴道栓有阴道栓的鼠在鼠标牌上注明日期和(阳性)捡出有阴栓的鼠进行受精卵的收集。

2.2 受精卵的收集  

2%戊巴比妥钠麻醉大鼠,脱颈处死,解剖大鼠,找到卵巢,输卵管和子宫,将卵取出,用透明质酸酶消除胚泡的黏着,使卵分离。在移换到另外的培养液中,要将透明质酸酶充分洗净(洗约3~5次)。

2.3 向受精卵雄性原核注入DNA溶液

2.4. 仅将未损坏的完成操作的卵收集起来,移植到假妊娠鼠输卵管中。术后将鼠置于安静的环境下饲养。

2.5 基因表型鉴定

在判定有导入基因鼠之后,立即将基因修饰大鼠另行饲养,对不用的鼠进行处理。阴性鼠的处理:(1)留和阳性鼠等量的阴性鼠对照。(2)剩余的阴性鼠用于其它符合动物伦理的其他实验室的实验(保存记录)。

3.基因敲除靶点设计与基因型鉴定

背景品系Background lines Wistar大鼠
表型特征Phenotypic characteristics

1. TSPAN7在病理和生理条件下的组织表达

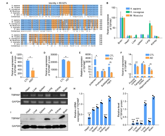
TSPAN7在进化上非常保守,将人、猴、大、小鼠、爪蟾和斑马鱼的TSPAN7蛋白进行氨基酸比对,其序列同源性高达89.2%Genebank数据库显示,TSPAN7蛋白在人、大小鼠的组织表达模式类似,均是在脑、肺中高表达,在心、脾、肾、肝组织中低表达。GEO数据库数据显示,TSPAN7蛋白在ASDHDPDAD病人脑组织中表达均显著下调RT-PCRwestern blot实验验证了TSPAN7蛋白的组织表达模式(与数据库一致)

2. TSPAN7敲除大鼠的建立和蛋白表达鉴定

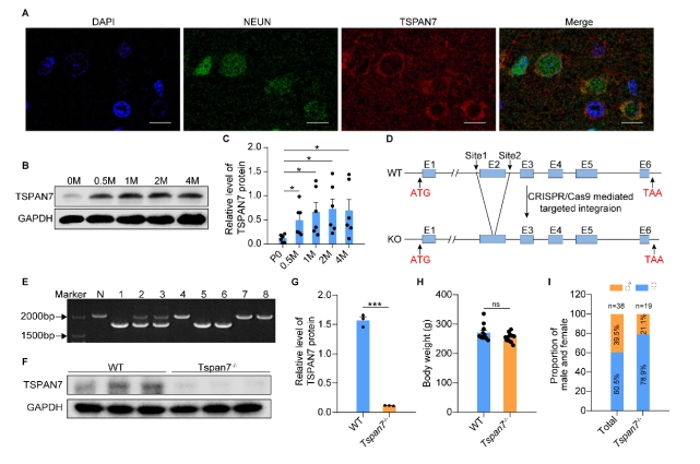
免疫荧光分析显示TSPAN7蛋白在NEUN标记的神经细胞表达。免疫印迹结果表明了TSPAN7蛋白的时间表达模式:在出生时低表达,随后2周到4月龄期间均高水平表达。利用CRISPR/Cas9 技术建立基因敲除大鼠,两个sgRNA 的作用靶点位于第2外显子。基因组测序显示,第2外显子的序列和部分第2内含子的序列共546bp被删除,最终得到两个首建鼠,其中一个稳定传代后用于后续实验。PCR鉴定后代基因型,序列删除导致TSPAN7蛋白表达缺失,免疫印迹验证其表达缺失。成年TSPAN7敲除大鼠与野生型大鼠体重并无明显差异,但是雌雄比例差别较大

3. TSPAN7敲除大鼠表现出ASD样行为

开放旷场中,TSPAN7敲除大鼠与野生型相比,在同等时间里,运动总距离无差异,但是自我梳理时间和次数均显著增加。糖水实验中,TSPAN7敲除大鼠与野生型相比,糖水摄取下降6.7%Fig.3E&F)。三箱社交实验中,TSPAN7敲除大鼠与陌生大鼠互动的时间明显减少,但总体运动距离和探索时间不变Y迷宫测试中,TSPAN7敲除大鼠的自发交替次数减少,反映大鼠工作记忆受损。

引物序列Primer sequence
应用领域Application area
繁殖方式Mode of reproduction
保存状态Save state 活体
提供单位Provide unit 中国医学科学院医学实验动物研究所
提供者Provider
参考文献Reference Pang S, Luo Z, Dong W, Gao S, Chen W, Liu N, Zhang X, Gao X, Li J, Gao K, Shi X, Guan F, Zhang L, Zhang L. Integrin β1/FAK/SRC signal pathway is involved in autism spectrum disorder in Tspan7 knockout rats. Life Sci Alliance. 2022 Dec 20;6(3):e202201616. doi: 10.26508/lsa.202201616. PMID: 36625203; PMCID: PMC9768919.
录入/更新时间Date 2023.10.26
备注Remarks
返回顶部